Rendgen Pluca Korona

Skener 41 Godisnje Zene Najbolje Pokazuje Na Koji Nacin Korona Virus Unistava Nasa Pluca Telegraf Rs

Skener 41 Godisnje Zene Najbolje Pokazuje Na Koji Nacin Korona Virus Unistava Nasa Pluca Telegraf Rs

Klasicna Upala Pluca Razlikuje Se Od One Izazvane Koronom

Klasicna Upala Pluca Razlikuje Se Od One Izazvane Koronom

Skener 41 Godisnje Zene Najbolje Pokazuje Na Koji Nacin Korona Virus Unistava Nasa Pluca Telegraf Rs

Skener 41 Godisnje Zene Najbolje Pokazuje Na Koji Nacin Korona Virus Unistava Nasa Pluca Telegraf Rs

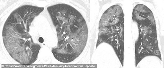
Sta Korona Cini Plucima Objavljeni Rendgenski Snimci Preminulih Ljudi

Sta Korona Cini Plucima Objavljeni Rendgenski Snimci Preminulih Ljudi

Rendgen Pluca Ili Skener Magicno Bilje

Rendgen Pluca Ili Skener Magicno Bilje

Sta Korona Cini Plucima Objavljeni Rendgenski Snimci Preminulih Ljudi Na Kojima Se Vide Koje Su Posledice Virusa Foto

Sta Korona Cini Plucima Objavljeni Rendgenski Snimci Preminulih Ljudi Na Kojima Se Vide Koje Su Posledice Virusa Foto

Sta Korona Cini Plucima Objavljeni Rendgenski Snimci Preminulih Ljudi Na Kojima Se Vide Koje Su Posledice Virusa Foto

Kako Izgledaju Pluca Napadnuta Virusom Korona Pogledajte Video Koji Je Napravila Bolnica U Vasingtonu National Geographic Srbija

Kako Izgledaju Pluca Napadnuta Virusom Korona Pogledajte Video Koji Je Napravila Bolnica U Vasingtonu National Geographic Srbija

Zobacz Jak Koronawirus Niszczy Pluca Naukowcy Z Akademii Medycznej W Czengdu Udostepniaja Zdjecia Wp Abczdrowie

Zobacz Jak Koronawirus Niszczy Pluca Naukowcy Z Akademii Medycznej W Czengdu Udostepniaja Zdjecia Wp Abczdrowie

Za 24 Sata Primljeno 227 Pacijenata Sa Upalama Pluca Jmu Radio Televizija Vojvodine

Za 24 Sata Primljeno 227 Pacijenata Sa Upalama Pluca Jmu Radio Televizija Vojvodine

Ljudi Koji Su Preboljeli Korona Virus Nose Dozivotne Posljedice M

Ljudi Koji Su Preboljeli Korona Virus Nose Dozivotne Posljedice M

Kako Izgledaju Pluca Posle Korone Posledice Na Organima Su Dozivotne Ostaju Duboki Oziljci

Kako Izgledaju Pluca Posle Korone Posledice Na Organima Su Dozivotne Ostaju Duboki Oziljci

Sokantne Fotografije Pokazuju Koliko Je Korona Virus Unistio Pluca Prvim Zrtvama Bolesti U Italiji Najnovije Vesti Srbija Danas

Sokantne Fotografije Pokazuju Koliko Je Korona Virus Unistio Pluca Prvim Zrtvama Bolesti U Italiji Najnovije Vesti Srbija Danas

Znacaj Radioloske Dijagnostike U Otkrivanju Sars Cov 2 Infekcije Bel Medic

Znacaj Radioloske Dijagnostike U Otkrivanju Sars Cov 2 Infekcije Bel Medic

Ne Stradaju Samo Pluca Obdukcije Otkrile Kako Zapravo Korona Ubija Mondo Me Prod

Ne Stradaju Samo Pluca Obdukcije Otkrile Kako Zapravo Korona Ubija Mondo Me Prod

Doktor Iz Kursumlije Sumnja Da Ima Koronu Kaze Da Niko Nece Da Ga Testira Drustvo Juzne Vesti

Doktor Iz Kursumlije Sumnja Da Ima Koronu Kaze Da Niko Nece Da Ga Testira Drustvo Juzne Vesti

Upala Pluca Plivazdravlje

Upala Pluca Plivazdravlje

Ova Zver Zeli Da Nas Obori Ustanite I Borite Se Poznati Novinar Objavio Svoj Rendgenski Snimak Ovako Izgledaju Pluca Sa Koronom Video

Ova Zver Zeli Da Nas Obori Ustanite I Borite Se Poznati Novinar Objavio Svoj Rendgenski Snimak Ovako Izgledaju Pluca Sa Koronom Video

Tanangiz Koronavirus Bilan қandaj Kurashishini Bilasizmi Bbc News O Zbek

Tanangiz Koronavirus Bilan қandaj Kurashishini Bilasizmi Bbc News O Zbek

Nas Pulmolog Resava Dilemu Skener Ili Rendgen Pluca Koja Metoda Je Bolja U Ranoj Dijagnostici Kovida Zena Rs

Nas Pulmolog Resava Dilemu Skener Ili Rendgen Pluca Koja Metoda Je Bolja U Ranoj Dijagnostici Kovida Zena Rs

Znacaj Radioloske Dijagnostike U Otkrivanju Sars Cov 2 Infekcije Bel Medic

Znacaj Radioloske Dijagnostike U Otkrivanju Sars Cov 2 Infekcije Bel Medic

Edem Pluћa Vikipediјa

Edem Pluћa Vikipediјa

Sigurni Znaci Da Vam Je Korona Usla U Pluca Temperatura Nije Među Njima Alo Rs

Sigurni Znaci Da Vam Je Korona Usla U Pluca Temperatura Nije Među Njima Alo Rs

Region U Sloveniji Najmanji Broj Novozarazenih Za Mesec Dana U Hrvatskoj Sest Novih Slucajeva Prvomajsko Kupanje Na Budvanskom Jazu Jmu Radio Televizija Vojvodine

Region U Sloveniji Najmanji Broj Novozarazenih Za Mesec Dana U Hrvatskoj Sest Novih Slucajeva Prvomajsko Kupanje Na Budvanskom Jazu Jmu Radio Televizija Vojvodine

Http Lks Org Rs Storage Global Documents Obavestenja Radiolo C5 A1ke 20manifestacije 20kod 20covid 19 20 Corr Pdf

Http Lks Org Rs Storage Global Documents Obavestenja Radiolo C5 A1ke 20manifestacije 20kod 20covid 19 20 Corr Pdf

Ljudi Koji Su Preboljeli Korona Virus Nose Dozivotne Posljedice M

Ljudi Koji Su Preboljeli Korona Virus Nose Dozivotne Posljedice M

Klinika Bel Medik Korona Profiteri U Danu Podigli Cene Rendgena Pluca Za 30 Odsto Zastitnik Potrosaca

Klinika Bel Medik Korona Profiteri U Danu Podigli Cene Rendgena Pluca Za 30 Odsto Zastitnik Potrosaca

Koliko Brzo Virus Ostecuje Pluca Bez Terapije 13 Dana Korona Stvara Neizleciva Ostecenja Novosti Rs

Koliko Brzo Virus Ostecuje Pluca Bez Terapije 13 Dana Korona Stvara Neizleciva Ostecenja Novosti Rs

Ostecenje Pluca Kao Posljedica Korone Panorama Dw 23 03 2020

Ostecenje Pluca Kao Posljedica Korone Panorama Dw 23 03 2020

Ostecenje Pluca Kao Posljedica Korone Panorama Dw 23 03 2020

Ostecenje Pluca Kao Posljedica Korone Panorama Dw 23 03 2020

Sokantne Fotografije Pokazuju Koliko Je Korona Virus Unistio Pluca Prvim Zrtvama Bolesti U Italiji Najnovije Vesti Srbija Danas

Sokantne Fotografije Pokazuju Koliko Je Korona Virus Unistio Pluca Prvim Zrtvama Bolesti U Italiji Najnovije Vesti Srbija Danas

Doktorka Objasnila Kako Korona Virus Utice Na Pluca I Ko Posebno Da Se Pazi Mondo Me Prod

Doktorka Objasnila Kako Korona Virus Utice Na Pluca I Ko Posebno Da Se Pazi Mondo Me Prod

Sta Nam Otkriva Rendgen Pluca Naucite Da Tumacite Rezultate Rtg Snimka Pluca Lepa I Srecna

Sta Nam Otkriva Rendgen Pluca Naucite Da Tumacite Rezultate Rtg Snimka Pluca Lepa I Srecna

Sarkoidoza Sarcoidosis Besnier Boeck Ili Besnier Boeck Schaumann Oboljenje

Sarkoidoza Sarcoidosis Besnier Boeck Ili Besnier Boeck Schaumann Oboljenje

Dva Znaka Da Je Korona Usla U Pluca Dobro Obratite Paznju Temperatura Nije Među Njima Vijesti

Dva Znaka Da Je Korona Usla U Pluca Dobro Obratite Paznju Temperatura Nije Među Njima Vijesti

Koronawirus Niewidoczny Na Zdjeciu Rtg Naukowcy Niektorzy Zarazeni Maja Czyste Pluca Wp Tech

Koronawirus Niewidoczny Na Zdjeciu Rtg Naukowcy Niektorzy Zarazeni Maja Czyste Pluca Wp Tech

Korona Virus U Novom Pazaru I Tutinu Svako Malo Cujes Umro Ovaj Umro Onaj Bbc News Na Srpskom

Korona Virus U Novom Pazaru I Tutinu Svako Malo Cujes Umro Ovaj Umro Onaj Bbc News Na Srpskom

Sokantne Snimke Pluca Dvoje Kineza Prvih Europskih Zrtava 24sata

Sokantne Snimke Pluca Dvoje Kineza Prvih Europskih Zrtava 24sata

Mihajlo 26 Iz Beograda 4 Meseca Ima Teske Simptome Korone Lekari U Cudu Mondo Portal

Mihajlo 26 Iz Beograda 4 Meseca Ima Teske Simptome Korone Lekari U Cudu Mondo Portal

Plucna Fibroza Fibroza Pluca Fibrosis Pulmonum

Plucna Fibroza Fibroza Pluca Fibrosis Pulmonum

Svetski Strucnjaci Objasnili Evo Sta Covid 19 Radi Nasim Plucima I Koliko Se Razlikuje Od Obicne Upale Pluca

Svetski Strucnjaci Objasnili Evo Sta Covid 19 Radi Nasim Plucima I Koliko Se Razlikuje Od Obicne Upale Pluca

Source : pinterest.com